生物体的和谐运作有赖于细胞间精妙复杂的信号交互网络。探究细胞外信号如何精准高效地穿透细胞膜、抵达并影响细胞内部运作的复杂路径,已成为近几十年来生命科学领域内备受瞩目的研究热点之一。G蛋白在细胞信号传导中扮演着重要的“桥梁”作用,一旦其在信号传导过程中发生任何紊乱,细胞对外部环境刺激就不能正确应答。鸟嘌呤核苷酸结合蛋白亚单位β1(GNB1,Guanine nucleotide-binding protein G(I)/G(S)/G(T) subunit beta-1)的表达与调节离子通道和磷脂酶活性、信号传导的动力学效应等有关。GNB1参与组成G蛋白复合物,影响GTP酶活性,维持生命活动的有序进行。
在本期精选中,小编特别为您呈上明星抗体—K112357P,让我们携手共赴一场奇妙之旅,深入探索GNB1那充满奥秘与奇迹的微观世界吧!
明星抗体
三维数据卡
|
名称 |
Anti-GNB1 Polyclonal Antibody |
|
编号 |
K112357P |
|
交叉 反应 |
Human Mouse Rat |
|
应用 |
WB IHC IF |
|
推荐稀释 比例 |
WB 1:1000-3000 IHC 1:50-200 IF 1:50-200 |
抗体靶标
人类GNB1基因位于1p36.33区,编码的蛋白质属于G蛋白复合物中的一个组成部分。G蛋白(鸟嘌呤核苷酸结合蛋白)由α、β和γ三个不同亚基组成,该蛋白能与GTP结合,具有GTP水解酶活性,可作为调节剂和效应器参与多种跨膜信号系统,在细胞内信号传导中起着重要作用。GNB1编码的β亚基是α亚基以及某些信号转导受体和效应器的重要调节因子,β链的存在对于GTP酶活性的维持、GTP向GDP的水解转化以及G蛋白与效应物之间的相互作用都是重要的。
蛋白分子
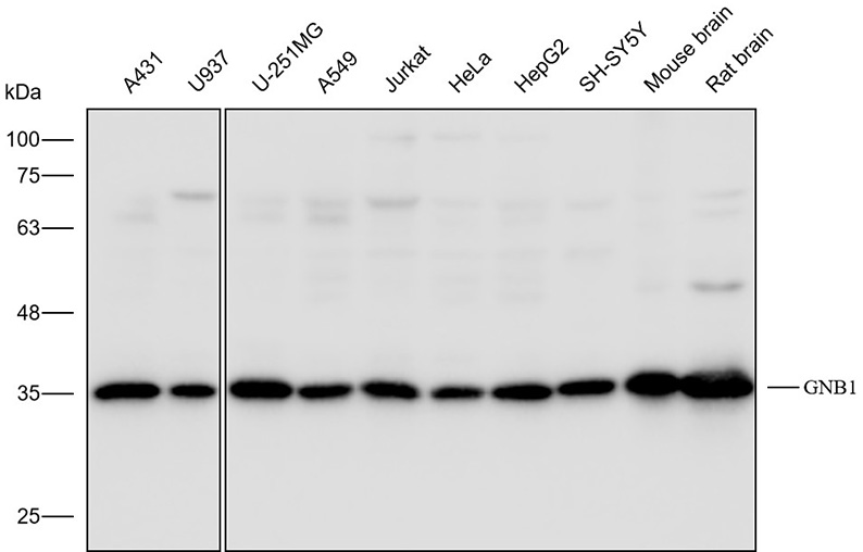
GNB1蛋白质的标准序列340个氨基酸,理论分子量约37kDa,实际蛋白分子量约35kDa(参考Western blot验证结果)。

图1 K112357P-Western blot验证
亚细胞定位
细胞质,质膜以及溶酶体膜等。

图2 GNB1的亚细胞定位示意图
组织分布
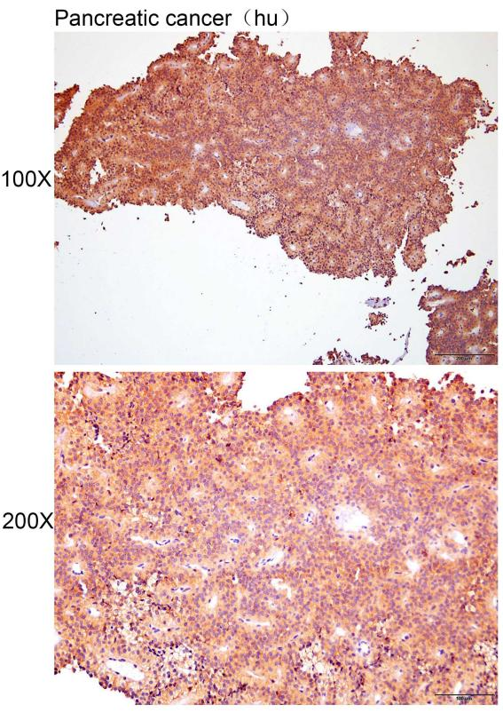
GNB1在多种细胞或组织中表达,在人脑组织中高表达。

图3 K112357P-Immunohistochemistry验证

图4 K112357P-Immunofluorescence验证
生物学功
GNB1基因胚系突变与全面发育迟缓或智力障碍相关。大多数G蛋白和G蛋白偶联受体(G protein-coupled receptors,GPCRs)在大脑中表达,调节突触形成及多种信号转导,从而影响大脑功能及神经发育过程。相关研究表明,GNB1是比较明确的常染色体显性遗传智力发育障碍42型致病基因之一,其对于新生小鼠神经发育、神经管闭合以及神经祖细胞增殖尤其重要,GNB1基因变异可能导致机体发育迟缓、肌张力低下、头颅MRI异常等。深入研究GNB1基因的功能,有助于揭示细胞信号转导的复杂机制,有望为相关疾病的诊断和治疗提供新的研究思路。
相关产品
|
产品货号 |
产品名称 |
|
K003048P |
Anti-GNB1 Polyclonal Antibody |
|
K010284P |
Anti-GNB1 Polyclonal Antibody |
|
K005479P |
Anti-GNB1L Polyclonal Antibody |
|
K008026P |
Anti-GNB1L Polyclonal Antibody |
|
K107104P |
Anti-GNB1L Polyclonal Antibody |
|
SE134 |
羊抗兔IgG-HRP |
|
K1034G-AF594 |
SAlexa Fluor 594标记 的羊抗兔IgG |
|
P06250 |
Recombinant Human GNB1 Protein |
|
VT024355 |
pExpress-1-Gnb1(rat) |
|
P02639 |
Recombinant Human GNB1L Protein |
|
VT032879 |
pCMV-SPORT6-Gnb1l (mouse) |
|
PR1910 |
彩虹180广谱蛋白 Marker(11-180KD) |
|
PC0020 |
BCA蛋白浓度 测定试剂盒 |
|
DA1015 |
增强型DAB显色 试剂盒(20×) |
|
PE0010 |
ECL Plus超敏发光液 |
|
P1200 |
SDS-PAGE凝胶 制备试剂盒 |
|
SP0041 |
通用SP检测试剂盒 |
